MMScreen Multi Window Opener in Chrome with OffiDocs
Ad
DESCRIPTION
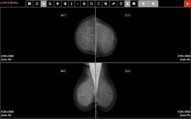
MMScreen Multi Window Opener Ulusal Tarama Mamografisi Raporlama Sistemi (MM Tarama) üzerinden yapılan raporlamalarda DICOM görüntülerinin medikal monitörlere ayrı bir pencerede yansıtılması amacıyla geliştirilmiş bir eklentidir.
T.
C.
Sağlık Bakanlığı tarafından geliştirilmiş bir eklenti olup, tarama mamografisi görüntülerinin raporlanması amacıyla kullanılır.
Raporlama yapan hekimlerin medikal monitörlerin uyumluluğu ve sayısı baz alınarak mamografi görüntülerinin monitörlere dağıtılmasını sağlar.
Additional Information:
- Offered by T.C. Sağlık Bakanlığı
- Average rating : 0 stars (hated it)
- Developer This email address is being protected from spambots. You need JavaScript enabled to view it.
MMScreen Multi Window Opener web extension integrated with the OffiDocs Chromium online















